Niềng răng – chìa khóa cho nụ cười tự tin
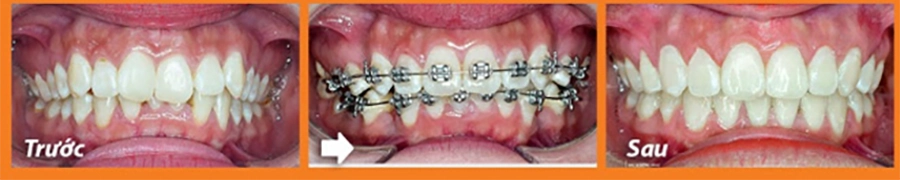
Một nụ cười rạng rỡ không chỉ tạo thiện cảm khi giao tiếp mà còn phản ánh sự khỏe mạnh của hàm răng. Tuy nhiên, nhiều người gặp tình trạng răng khấp khểnh, hô, móm hoặc thưa, khiến họ thiếu tự tin và khó khăn trong việc vệ sinh răng miệng. Đây chính là lý do niềng răng thẩm mỹ ngày càng trở thành lựa chọn phổ biến.
Tại Nha Khoa Gia Đình Phú Yên, phương pháp niềng răng không chỉ tập trung vào việc làm răng đều đẹp, mà còn cải thiện khớp cắn, tăng cường khả năng ăn nhai và phòng ngừa nhiều bệnh lý răng miệng. Đặc biệt, với sự hỗ trợ của công nghệ hiện đại, quá trình niềng diễn ra nhẹ nhàng, ít đau và rút ngắn đáng kể thời gian điều trị.
1. Niềng răng thẩm mỹ là gì
1.1 Khái niệm cơ bản
Niềng răng thẩm mỹ là phương pháp sử dụng các khí cụ nha khoa chuyên dụng để dịch chuyển răng về vị trí mong muốn, giúp hàm răng đều và cân đối hơn. Không chỉ dừng lại ở yếu tố thẩm mỹ, niềng răng còn điều chỉnh khớp cắn, cải thiện chức năng ăn nhai và hạn chế các bệnh lý răng miệng trong tương lai.
Khác với suy nghĩ của nhiều người rằng niềng răng chỉ dành cho trẻ em, hiện nay phương pháp này phù hợp cho cả thanh thiếu niên lẫn người trưởng thành, miễn là đáp ứng đủ điều kiện sức khỏe răng miệng.
1.2 Các loại niềng răng phổ biến

Hiện nay, có ba hình thức niềng răng được áp dụng rộng rãi, phù hợp với nhu cầu và điều kiện của từng người:
-
Mắc cài kim loại: Bền chắc, hiệu quả cao, chi phí hợp lý.
-
Mắc cài sứ: Ít lộ hơn, đảm bảo thẩm mỹ khi giao tiếp.
-
Khay trong suốt Invisalign: Gần như vô hình, tháo lắp dễ dàng khi ăn uống và vệ sinh.
Mỗi loại đều có ưu và nhược điểm riêng, vì vậy việc lựa chọn cần dựa trên sự tư vấn của bác sĩ để đảm bảo hiệu quả tốt nhất.

1.3 Lợi ích tổng quan của niềng răng
Niềng răng không chỉ thay đổi nụ cười mà còn mang lại nhiều giá trị sức khỏe lâu dài. Hàm răng đều giúp việc vệ sinh dễ dàng, giảm nguy cơ sâu răng và viêm nướu. Khớp cắn chuẩn giúp phân bố lực nhai đều, hạn chế tình trạng đau khớp thái dương hàm và mòn răng bất thường.
Ngoài ra, một nụ cười đẹp còn góp phần nâng cao sự tự tin trong công việc và cuộc sống. Đây chính là lý do nhiều người xem niềng răng như một khoản đầu tư lâu dài cho cả sức khỏe và ngoại hình.
2. Điểm nổi bật khi niềng răng thẩm mỹ
2.1 Cải thiện thẩm mỹ khuôn mặt và nụ cười
Một trong những lợi ích rõ ràng nhất của niềng răng là mang lại hàm răng đều đặn, giúp nụ cười trở nên hài hòa và cuốn hút hơn. Khi răng được sắp xếp đúng vị trí, khuôn mặt cũng trở nên cân đối, đặc biệt là ở vùng miệng và cằm.
Nhiều trường hợp răng hô, móm hoặc khấp khểnh không chỉ gây mất tự tin mà còn khiến khuôn mặt mất cân xứng. Sau khi chỉnh nha, gương mặt trở nên hài hòa hơn, nụ cười tự nhiên và thoải mái hơn.
Đây chính là yếu tố quan trọng giúp người bệnh không chỉ cải thiện sức khỏe răng miệng, mà còn nâng cao ngoại hình, hỗ trợ cả trong giao tiếp lẫn công việc.

2.2 Khớp cắn chuẩn, ăn nhai dễ dàng
Một hàm răng lệch lạc thường khiến khớp cắn không chuẩn, dẫn đến việc nhai không hiệu quả, thậm chí gây đau hàm hoặc mòn răng bất thường. Niềng răng giúp điều chỉnh khớp cắn đúng chuẩn, từ đó phân bổ lực nhai đều trên toàn bộ cung răng.
Nhờ đó, việc ăn nhai trở nên dễ dàng hơn, không còn cảm giác mỏi cơ hàm hay đau khớp thái dương hàm khi nhai đồ cứng. Đây là lợi ích thiết thực mà không phải ai cũng nhận thấy ngay, nhưng lại rất quan trọng về lâu dài.
Khi chức năng ăn nhai được cải thiện, hệ tiêu hóa cũng hoạt động hiệu quả hơn vì thức ăn được nghiền nhỏ ngay từ trong khoang miệng.
2.3 Ngăn ngừa bệnh lý răng miệng
Răng lệch lạc, chen chúc khiến việc vệ sinh răng miệng trở nên khó khăn, dễ tạo điều kiện cho mảng bám tích tụ. Đây là nguyên nhân hàng đầu gây sâu răng, viêm nướu và nha chu. Niềng răng giúp răng ngay ngắn, tạo khoảng cách hợp lý để việc chải răng và dùng chỉ nha khoa dễ dàng hơn.
Ngoài ra, khi răng được sắp xếp đều đặn, nguy cơ thức ăn mắc kẹt giữa các khe răng giảm đi đáng kể. Điều này đồng nghĩa với việc hạn chế vi khuẩn sinh sôi, giúp nướu và xương quanh răng luôn khỏe mạnh.
Chỉnh nha không chỉ mang tính thẩm mỹ, mà còn là biện pháp phòng ngừa bệnh lý răng miệng rất hiệu quả.

2.4 Hiệu quả lâu dài và ổn định
Nhiều người lo lắng răng sẽ xô lệch trở lại sau khi tháo niềng. Tuy nhiên, khi quy trình chỉnh nha được thực hiện đúng và có hàm duy trì sau niềng, răng sẽ ổn định lâu dài.
Đặc biệt, với công nghệ niềng răng hiện đại, lực kéo được tính toán khoa học, giúp răng dịch chuyển an toàn, hạn chế nguy cơ tái lệch sau điều trị. Nếu bệnh nhân tuân thủ tái khám định kỳ và sử dụng hàm duy trì đúng hướng dẫn, kết quả có thể duy trì cả đời.
Đây là lợi ích vượt trội giúp chỉnh nha trở thành một “khoản đầu tư lâu dài” cho sức khỏe và thẩm mỹ.
3. Những trường hợp cần niềng răng
3.1 Răng hô và răng móm
Răng hô xảy ra khi răng hàm trên chìa ra ngoài quá mức, làm mất cân đối khuôn mặt và ảnh hưởng đến khớp cắn. Người bị hô thường cảm thấy khó tự tin khi cười, thậm chí gặp trở ngại trong phát âm. Niềng răng giúp đưa các răng về vị trí đúng, cải thiện đáng kể thẩm mỹ và chức năng.
Ngược lại, răng móm là tình trạng hàm dưới đưa ra trước so với hàm trên. Đây không chỉ là vấn đề thẩm mỹ mà còn ảnh hưởng trực tiếp đến khớp cắn, gây khó khăn khi ăn nhai. Niềng răng kết hợp với điều chỉnh xương hàm (trong trường hợp nặng) sẽ giúp khắc phục hiệu quả.
Cả hô và móm đều có thể cải thiện rõ rệt bằng chỉnh nha, giúp gương mặt cân đối và nụ cười hài hòa hơn.

3.2 Răng thưa và khe hở lớn
Răng thưa là tình trạng giữa các răng có khoảng cách lớn, khiến thức ăn dễ mắc lại và khó vệ sinh. Điều này làm tăng nguy cơ sâu răng, viêm nướu và hôi miệng. Ngoài ra, răng thưa còn ảnh hưởng đến thẩm mỹ, khiến nụ cười kém duyên.
Niềng răng sẽ kéo các răng sát lại gần nhau, đóng kín khoảng hở, tạo sự liên kết vững chắc trên cung hàm. Sau khi chỉnh nha, không chỉ cải thiện vẻ ngoài mà việc vệ sinh răng miệng cũng trở nên dễ dàng hơn.
Với công nghệ niềng răng hiện đại, tình trạng răng thưa có thể được xử lý nhanh chóng, thường rút ngắn thời gian điều trị so với các ca răng chen chúc.

3.3 Răng khấp khểnh, mọc lệch lạc
Răng khấp khểnh là tình trạng các răng mọc không đều, chen chúc hoặc xoay lệch so với vị trí chuẩn. Đây là dạng sai lệch phổ biến nhất, gây khó khăn trong việc vệ sinh, tạo điều kiện cho mảng bám tích tụ, dẫn đến sâu răng và viêm nha chu.
Khi niềng, các răng sẽ dần dịch chuyển về đúng vị trí, sắp xếp đều trên cung hàm. Kết quả là nụ cười đẹp hơn, việc vệ sinh răng miệng cũng thuận lợi, giúp ngăn ngừa bệnh lý lâu dài.
Ngoài ra, răng khấp khểnh thường gây ra khớp cắn sai, làm tăng áp lực lên một số răng nhất định, dẫn đến mòn răng nhanh. Niềng răng sẽ giải quyết triệt để vấn đề này.
3.4 Khớp cắn hở và khớp cắn chéo
Khớp cắn hở là khi hai hàm không khít nhau ở phía trước hoặc hai bên, khiến việc ăn nhai khó khăn, đặc biệt là khi cắn thức ăn. Trong khi đó, khớp cắn chéo xảy ra khi răng hàm trên cắn lọt vào trong răng hàm dưới, gây lệch hàm và mất cân đối khuôn mặt.
Cả hai dạng sai lệch này nếu không được điều trị sẽ làm tăng nguy cơ mòn răng, đau khớp thái dương hàm và thậm chí ảnh hưởng đến phát âm. Niềng răng giúp điều chỉnh lại khớp cắn chuẩn, đảm bảo chức năng ăn nhai và mang lại nụ cười tự nhiên.
Điều trị sớm khớp cắn hở và cắn chéo sẽ mang lại kết quả tốt hơn, đặc biệt ở trẻ em và thanh thiếu niên trong giai đoạn xương hàm còn phát triển.
4. Quy trình niềng răng tại nha khoa gia đình
4.1 Thăm khám và chụp X-quang
Trước khi bắt đầu chỉnh nha, bác sĩ sẽ tiến hành thăm khám tổng quát để đánh giá tình trạng răng và khớp cắn của bệnh nhân. Đây là bước quan trọng để phát hiện những bệnh lý răng miệng tiềm ẩn như sâu răng, viêm nướu hoặc cao răng cần được xử lý trước khi niềng.
Song song đó, bệnh nhân sẽ được chụp X-quang hoặc CT Cone Beam 3D. Các hình ảnh này giúp bác sĩ quan sát rõ cấu trúc xương hàm, vị trí chân răng và mật độ xương, từ đó xác định chính xác mức độ sai lệch.
Kết quả thăm khám và hình ảnh chẩn đoán sẽ là cơ sở để xây dựng phác đồ điều trị phù hợp, đảm bảo hiệu quả tối ưu cho từng trường hợp.

4.2 Tư vấn và lập kế hoạch điều trị
Sau khi có kết quả kiểm tra, bác sĩ sẽ phân tích chi tiết tình trạng răng của bệnh nhân và đưa ra các lựa chọn chỉnh nha phù hợp. Bệnh nhân sẽ được giải thích rõ ràng về phương pháp (mắc cài kim loại, mắc cài sứ hay Invisalign), thời gian dự kiến và chi phí điều trị.
Việc lập kế hoạch điều trị cá nhân hóa giúp bệnh nhân hiểu rõ lộ trình và chủ động hơn trong việc theo dõi. Đồng thời, đây cũng là bước để bác sĩ dự đoán kết quả sau niềng, giúp bệnh nhân yên tâm và tin tưởng vào quá trình điều trị.
Sự minh bạch và rõ ràng ở giai đoạn này giúp xây dựng niềm tin và hạn chế rủi ro phát sinh trong quá trình chỉnh nha.
4.3 Vệ sinh và gắn khí cụ chỉnh nha
Trước khi gắn mắc cài hoặc khay niềng, bác sĩ sẽ tiến hành vệ sinh răng miệng kỹ lưỡng, bao gồm cạo vôi răng và điều trị các bệnh lý liên quan nếu có. Việc này đảm bảo môi trường răng miệng sạch sẽ, giảm nguy cơ viêm nhiễm trong suốt thời gian niềng.
Sau đó, bác sĩ sẽ tiến hành gắn mắc cài hoặc giao khay trong suốt Invisalign theo phác đồ đã được thiết kế. Mỗi loại khí cụ đều được điều chỉnh cẩn thận để đảm bảo sự thoải mái và hiệu quả di chuyển răng.
Đây là bước quan trọng khởi đầu hành trình niềng răng, giúp răng bắt đầu dịch chuyển dần về vị trí mong muốn.

4.4 Theo dõi và tái khám định kỳ
Trong suốt quá trình niềng, bệnh nhân cần tái khám định kỳ (thường là 3–4 tuần/lần). Mục đích là để bác sĩ kiểm tra sự dịch chuyển của răng, điều chỉnh dây cung, thay thun hoặc thay khay Invisalign nếu cần.
Các buổi tái khám còn giúp phát hiện sớm những bất thường như bung mắc cài, dây cung gây cọ xát hoặc đau nhức bất thường. Việc xử lý kịp thời sẽ giúp đảm bảo lộ trình niềng diễn ra đúng kế hoạch.
Sự hợp tác và tuân thủ lịch hẹn của bệnh nhân là yếu tố quan trọng quyết định hiệu quả chỉnh nha.
4.5 Tháo niềng và sử dụng hàm duy trì
Khi răng đã di chuyển về vị trí chuẩn, bác sĩ sẽ tiến hành tháo mắc cài hoặc kết thúc liệu trình khay trong suốt. Lúc này, bệnh nhân sẽ được cấp hàm duy trì – một loại khí cụ giúp giữ răng ổn định, tránh tình trạng xô lệch trở lại.
Bác sĩ cũng sẽ hướng dẫn cách chăm sóc răng miệng sau niềng, bao gồm vệ sinh, chế độ ăn uống và lịch tái khám định kỳ. Đây là giai đoạn quan trọng để kết quả chỉnh nha được duy trì bền vững lâu dài.
Một nụ cười đẹp, răng đều đặn và khớp cắn chuẩn sẽ là thành quả trọn vẹn cho hành trình kiên nhẫn chỉnh nha của bạn.

5. Tại sao nên chọn nha khoa gia đình để niềng răng
5.1 Đội ngũ bác sĩ giàu kinh nghiệm
Niềng răng là quá trình kéo dài nhiều năm, đòi hỏi bác sĩ không chỉ có chuyên môn chỉnh nha mà còn phải kiên nhẫn theo dõi, điều chỉnh từng chi tiết nhỏ. Tại Nha Khoa Gia Đình, đội ngũ bác sĩ được đào tạo bài bản, có kinh nghiệm thực hiện hàng trăm ca chỉnh nha thành công cho cả trẻ em lẫn người lớn.
Các bác sĩ luôn lắng nghe nhu cầu và mong muốn của bệnh nhân, từ đó đưa ra phác đồ điều trị phù hợp nhất, đảm bảo vừa đạt hiệu quả thẩm mỹ vừa duy trì sức khỏe răng miệng lâu dài.
5.2 Trang thiết bị hiện đại, quy trình an toàn
Phòng khám được trang bị hệ thống X-quang 3D, phần mềm mô phỏng dịch chuyển răng và khí cụ chỉnh nha chính hãng. Điều này giúp quá trình niềng răng diễn ra chính xác, ít đau và an toàn tuyệt đối.
Quy trình điều trị luôn tuân thủ chuẩn y khoa, từ khâu vô trùng dụng cụ đến theo dõi tiến trình chỉnh nha. Nhờ vậy, bệnh nhân có thể yên tâm đồng hành cùng nha khoa trong suốt hành trình niềng.
5.3 Dịch vụ chăm sóc tận tâm
Ngoài chuyên môn, yếu tố con người cũng là điểm cộng lớn tại Nha Khoa Gia Đình. Mỗi khách hàng đều được theo dõi riêng, nhắc lịch tái khám và hỗ trợ kịp thời khi gặp vấn đề. Không chỉ dừng lại ở việc chỉnh nha, phòng khám còn đồng hành cùng bạn trong việc chăm sóc sức khỏe răng miệng toàn diện.
6. Kết luận và liên hệ
Niềng răng thẩm mỹ không chỉ giúp bạn có một hàm răng đều đẹp mà còn cải thiện khớp cắn, nâng cao sức khỏe răng miệng và mang lại sự tự tin trong giao tiếp. Với công nghệ hiện đại và đội ngũ bác sĩ tận tâm, Nha Khoa Gia Đình Phú Yên cam kết mang đến kết quả chỉnh nha an toàn, hiệu quả và bền vững.
👉 Đừng để tình trạng răng lệch lạc hay sai khớp cắn ảnh hưởng đến nụ cười và cuộc sống của bạn. Hãy bắt đầu hành trình thay đổi ngay hôm nay cùng chúng tôi!
Nha Khoa Gia Đình
📍 Ngã 3 Triều Sơn, QL1A, Xuân Thọ 2, Sông Cầu, Phú Yên
📞 Hotline: 0916 928 789













