Vì sao bệnh nha chu cần được quan tâm sớm?
Có bao giờ bạn chải răng mà thấy nướu chảy máu, hơi thở vẫn có mùi khó chịu dù đã vệ sinh kỹ lưỡng? Nhiều người thường bỏ qua những triệu chứng này và nghĩ rằng đó chỉ là vấn đề nhỏ. Thực tế, đây có thể là dấu hiệu cảnh báo bệnh lý nha chu – một tình trạng âm thầm nhưng gây ảnh hưởng nghiêm trọng đến cả răng, nướu và sức khỏe toàn thân.
Nếu không được điều trị kịp thời, nha chu không chỉ khiến răng lung lay, mất răng mà còn làm tăng nguy cơ mắc bệnh tim mạch, tiểu đường, thậm chí viêm phổi. Bởi vậy, hiểu rõ về căn bệnh này sẽ giúp bạn chủ động phòng ngừa và điều trị sớm, bảo vệ nụ cười khỏe mạnh mỗi ngày.
1. Bệnh nha chu là gì?
1.1 Khái niệm cơ bản
Bệnh nha chu là tình trạng viêm nhiễm mạn tính xảy ra ở các mô quanh răng, bao gồm nướu, dây chằng nha chu và xương ổ răng. Ban đầu, bệnh có thể chỉ biểu hiện bằng nướu sưng đỏ và dễ chảy máu, nhưng theo thời gian, vi khuẩn sẽ tấn công sâu hơn, gây tiêu xương và làm răng lung lay. Nếu không được kiểm soát, hậu quả cuối cùng có thể là mất răng vĩnh viễn.

1.2 Sự khác biệt giữa nướu khỏe mạnh và nướu bệnh lý
-
Ở trạng thái khỏe mạnh, nướu có màu hồng nhạt, săn chắc, ôm sát quanh răng.
-
Khi mắc bệnh nha chu, nướu sẽ chuyển sang màu đỏ sẫm, mềm, dễ chảy máu khi chạm nhẹ.
-
Xương ổ răng dần tiêu đi, tạo thành khoảng hở giữa răng và nướu, khiến vi khuẩn tiếp tục xâm nhập sâu hơn.
Sự thay đổi này diễn ra chậm rãi nên nhiều người không nhận ra cho đến khi bệnh đã tiến triển nặng.
1.3 Vì sao bệnh nha chu nguy hiểm?
Điểm nguy hiểm của bệnh nha chu nằm ở tính “âm thầm”. Người bệnh thường không cảm thấy đau dữ dội ở giai đoạn đầu, nên dễ chủ quan. Khi nhận ra vấn đề thì xương nâng đỡ răng đã bị tổn thương nghiêm trọng. Ngoài việc gây mất răng, bệnh còn liên quan đến các bệnh toàn thân do vi khuẩn từ túi nha chu đi vào máu, làm tăng nguy cơ bệnh tim mạch, tiểu đường và biến chứng thai kỳ ở phụ nữ mang thai.

2. Dấu hiệu nhận biết bệnh nha chu
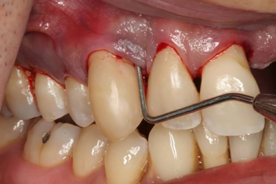
2.1 Nướu sưng đỏ và chảy máu bất thường
Một trong những dấu hiệu sớm nhất của bệnh nha chu chính là nướu bị viêm, sưng to và đổi sang màu đỏ sẫm thay vì hồng nhạt như bình thường. Người bệnh dễ dàng nhận thấy nướu bị mềm, dễ tổn thương và chảy máu ngay cả khi chải răng nhẹ hoặc ăn các thức ăn cứng. Đây là hiện tượng nhiều người thường bỏ qua, nghĩ rằng chỉ là viêm nướu nhẹ, nhưng thực tế lại là bước khởi đầu của bệnh nha chu.
Khi nướu đã viêm, các mạch máu bên trong bị giãn nở và thành mạch yếu đi, khiến việc chảy máu xảy ra thường xuyên hơn. Nếu không được xử lý kịp thời, tình trạng này sẽ ngày càng nặng, nướu không còn đủ sức nâng đỡ răng, tạo điều kiện cho vi khuẩn tấn công sâu hơn vào các mô bên dưới.

2.2 Hơi thở có mùi hôi dai dẳng
Hơi thở hôi kéo dài, dù bạn đã vệ sinh răng miệng kỹ lưỡng, cũng là một cảnh báo quan trọng. Nguyên nhân là do các túi nha chu hình thành giữa răng và nướu, trở thành nơi trú ngụ cho vi khuẩn. Các vi khuẩn này phân hủy thức ăn còn sót lại, giải phóng ra hợp chất lưu huỳnh gây mùi hôi khó chịu.
Điểm đặc biệt là mùi hôi từ bệnh nha chu thường không thể khắc phục bằng nước súc miệng hay kẹo ngậm thông thường. Nhiều người chỉ nhận ra khi người khác góp ý hoặc khi đi khám nha khoa. Điều này cho thấy việc điều trị cần phải tác động trực tiếp vào nguyên nhân gây bệnh chứ không chỉ che giấu mùi.
2.3 Nướu tụt và lộ chân răng
Một dấu hiệu tiến triển nặng hơn của bệnh nha chu là nướu tụt dần xuống, không còn ôm sát chân răng. Điều này làm chân răng bị lộ ra ngoài, khiến răng dễ bị ê buốt khi ăn uống đồ nóng, lạnh hoặc chua. Đây không chỉ là vấn đề thẩm mỹ mà còn báo hiệu xương ổ răng đã bị tiêu đi một phần.
Khi nướu tụt, khoảng trống giữa răng và nướu rộng hơn, tạo điều kiện cho vi khuẩn xâm nhập sâu hơn vào xương. Quá trình này diễn ra âm thầm, nhiều người chỉ nhận thấy khi răng bắt đầu ê buốt và thưa dần. Nếu không điều trị sớm, răng sẽ lung lay và nguy cơ mất răng là rất cao.

2.4 Răng lung lay và xô lệch
Khi bệnh tiến triển đến giai đoạn nặng, xương và dây chằng quanh răng bị phá hủy, khiến răng mất đi sự vững chắc. Người bệnh có cảm giác răng lung lay khi nhai, khoảng cách giữa các răng dần rộng ra, tạo khe thưa mất thẩm mỹ. Đây là dấu hiệu rõ ràng cho thấy bệnh nha chu đã ảnh hưởng sâu đến cấu trúc nâng đỡ răng.
Ngoài vấn đề thẩm mỹ, răng lung lay còn làm giảm khả năng ăn nhai, gây đau khi nhai thức ăn cứng. Nếu không điều trị, tình trạng này có thể tiến triển thành rụng răng từng chiếc, làm suy giảm chất lượng cuộc sống nghiêm trọng.
2.5 Xuất hiện mủ quanh chân răng
Một dấu hiệu báo động khẩn cấp là tình trạng mủ chảy ra từ túi nha chu quanh chân răng. Khi vi khuẩn xâm nhập sâu và gây viêm nặng, cơ thể sẽ phản ứng bằng cách tạo mủ để loại bỏ vi khuẩn. Tuy nhiên, sự xuất hiện của mủ chứng tỏ tình trạng nhiễm trùng đã trở nên nghiêm trọng.
Người bệnh thường cảm thấy đau nhức kéo dài, kèm theo cảm giác khó chịu, đôi khi sốt nhẹ. Đây là giai đoạn bệnh đã trở nặng và cần can thiệp điều trị chuyên sâu ngay lập tức. Nếu để kéo dài, vi khuẩn có thể lây lan sang các răng khác hoặc ảnh hưởng đến toàn thân.
3. Phân biệt viêm nướu và viêm nha chu
3.1 Viêm nướu – giai đoạn sớm của bệnh
Viêm nướu là tình trạng viêm giới hạn ở phần mô mềm bao quanh răng, tức là chỉ ảnh hưởng đến nướu mà chưa xâm lấn đến dây chằng nha chu hay xương ổ răng. Đây được xem là giai đoạn nhẹ và hoàn toàn có thể điều trị khỏi nếu phát hiện sớm.
Biểu hiện thường thấy là nướu sưng đỏ, dễ chảy máu khi chải răng hoặc dùng chỉ nha khoa. Tuy nhiên, ở giai đoạn này răng vẫn chắc, chưa có dấu hiệu lung lay. Vì vậy, nhiều người thường chủ quan, chỉ nghĩ đơn giản là chảy máu do đánh răng quá mạnh.
Nếu được vệ sinh răng miệng đúng cách, kết hợp lấy cao răng định kỳ, tình trạng viêm nướu có thể cải thiện nhanh chóng trong vài tuần. Ngược lại, nếu bỏ qua, vi khuẩn sẽ tiếp tục phát triển, mảng bám tích tụ nhiều hơn và bệnh có nguy cơ tiến triển thành viêm nha chu.
3.2 Viêm nha chu – giai đoạn nặng và phức tạp hơn
Viêm nha chu là sự tiến triển từ viêm nướu không được điều trị triệt để. Lúc này, vi khuẩn không chỉ dừng lại ở mô mềm mà đã xâm nhập sâu xuống dây chằng nha chu và xương ổ răng. Đây là lý do khiến viêm nha chu được xem là bệnh lý nặng, phức tạp, đòi hỏi phác đồ điều trị chuyên sâu.
Các biểu hiện điển hình của viêm nha chu gồm: nướu tụt, lộ chân răng, răng lung lay, hơi thở hôi kéo dài, xuất hiện mủ quanh răng. Người bệnh có thể gặp khó khăn trong ăn nhai, thậm chí mất răng nếu không được can thiệp kịp thời.
Điều trị viêm nha chu thường phức tạp hơn nhiều so với viêm nướu, có thể phải kết hợp cạo vôi dưới nướu, dùng thuốc kháng sinh, hoặc phẫu thuật nha chu như ghép xương, tái tạo mô. Nếu chỉ vệ sinh răng miệng đơn thuần thì không đủ để phục hồi.

3.3 So sánh viêm nướu và viêm nha chu
✔️ Mức độ ảnh hưởng: Viêm nướu chỉ ảnh hưởng phần nướu, còn viêm nha chu tác động đến cả cấu trúc nâng đỡ răng.
✔️ Khả năng hồi phục: Viêm nướu dễ điều trị và phục hồi hoàn toàn. Ngược lại, viêm nha chu khó điều trị dứt điểm, nhiều trường hợp phải can thiệp phẫu thuật.
✔️ Nguy cơ mất răng: Viêm nướu gần như không gây mất răng, trong khi viêm nha chu là nguyên nhân hàng đầu khiến người trưởng thành bị rụng răng.
Điểm mấu chốt là viêm nướu chính là “cửa ngõ” dẫn đến viêm nha chu. Nếu xử lý sớm, bệnh có thể dừng lại và không gây tổn hại nặng nề. Nhưng nếu chủ quan, viêm nướu sẽ âm thầm tiến triển thành viêm nha chu, gây hậu quả lâu dài cho sức khỏe răng miệng và toàn thân.
4. Nguyên nhân gây bệnh nha chu
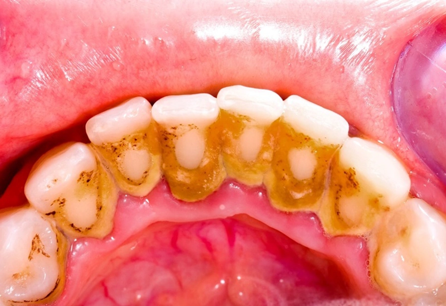
4.1 Mảng bám và cao răng tích tụ lâu ngày
Nguyên nhân hàng đầu dẫn đến viêm nha chu là mảng bám – lớp màng vi khuẩn mỏng hình thành liên tục trên bề mặt răng sau mỗi bữa ăn. Nếu không được làm sạch đúng cách, mảng bám sẽ cứng lại thành cao răng, bám chặt vào thân và chân răng.
Cao răng là nơi trú ngụ lý tưởng cho vi khuẩn sinh sôi. Khi vi khuẩn phát triển mạnh, chúng tiết ra độc tố gây viêm nhiễm, phá hủy mô nướu và dây chằng quanh răng. Đây chính là lý do tại sao những người ít đi lấy cao răng định kỳ thường có nguy cơ cao mắc bệnh nha chu.
Điều đáng lo ngại là cao răng không thể loại bỏ bằng bàn chải thường. Người bệnh cần đến nha khoa để được lấy cao răng bằng dụng cụ chuyên dụng nhằm loại bỏ ổ vi khuẩn tận gốc.

4.2 Thói quen vệ sinh răng miệng chưa đúng cách
Việc chải răng không đủ thời gian, bỏ sót kẽ răng hoặc chải răng sai cách cũng góp phần hình thành nha chu. Nhiều người có thói quen chải qua loa hoặc chỉ đánh răng 1 lần/ngày, điều này khiến mảng bám tồn tại lâu và dày lên theo thời gian.
Ngoài ra, thói quen không dùng chỉ nha khoa để làm sạch kẽ răng cũng khiến thức ăn thừa tích tụ, trở thành “ổ” cho vi khuẩn phát triển. Các sản phẩm nước súc miệng có thể hỗ trợ, nhưng không thể thay thế việc làm sạch cơ học bằng bàn chải và chỉ nha khoa.
Sự kết hợp của nhiều thói quen sai lầm này trong thời gian dài sẽ khiến bệnh nha chu tiến triển nhanh và khó kiểm soát hơn.
4.3 Hút thuốc lá và sử dụng chất kích thích
Hút thuốc lá được xem là yếu tố nguy cơ cao nhất làm trầm trọng thêm tình trạng viêm nha chu. Nicotine và các chất độc hại trong khói thuốc làm giảm lưu lượng máu đến nướu, khiến khả năng tự bảo vệ và hồi phục của mô mềm yếu đi. Người hút thuốc thường ít thấy nướu chảy máu dù bệnh đã tiến triển, do máu khó lưu thông.
Không chỉ thuốc lá, rượu bia và các chất kích thích khác cũng làm suy yếu hệ miễn dịch, tạo điều kiện cho vi khuẩn tấn công nướu mạnh mẽ hơn. Điều này giải thích vì sao những người hút thuốc hoặc uống rượu thường xuyên có tỷ lệ mất răng cao gấp nhiều lần so với người bình thường.
Việc ngừng hút thuốc không chỉ giúp cải thiện sức khỏe toàn thân mà còn làm tăng hiệu quả điều trị bệnh nha chu.
4.4 Bệnh lý toàn thân và yếu tố di truyền
Một số bệnh lý mạn tính như tiểu đường, tim mạch hay rối loạn miễn dịch làm tăng nguy cơ mắc bệnh nha chu. Người bệnh tiểu đường thường khó kiểm soát đường huyết, điều này khiến vết thương ở nướu lâu lành và dễ nhiễm trùng hơn.
Bên cạnh đó, yếu tố di truyền cũng đóng vai trò nhất định. Nếu trong gia đình có người từng mắc nha chu, nguy cơ bạn bị bệnh sẽ cao hơn. Đây là do cấu trúc mô nâng đỡ răng và khả năng miễn dịch có thể bị ảnh hưởng bởi gen di truyền.
Khi kết hợp với các thói quen xấu như vệ sinh răng miệng kém hoặc hút thuốc, những yếu tố này sẽ làm bệnh tiến triển nhanh chóng và khó điều trị hơn.
4.5 Ảnh hưởng của nội tiết tố và căng thẳng
Ở phụ nữ mang thai, thay đổi hormone estrogen và progesterone làm nướu nhạy cảm hơn, dễ bị viêm và chảy máu. Đây là lý do nhiều bà bầu thường gặp vấn đề viêm nướu, nếu không kiểm soát sẽ tiến triển thành nha chu. Tương tự, phụ nữ trong giai đoạn mãn kinh cũng có nguy cơ cao hơn do sự thay đổi nội tiết.
Ngoài ra, stress kéo dài làm tăng hormone cortisol, gây suy giảm hệ miễn dịch, khiến cơ thể khó chống lại vi khuẩn. Người thường xuyên căng thẳng, lo âu không chỉ dễ mắc bệnh nha chu mà còn có tốc độ tiến triển nhanh hơn bình thường.
Điều này cho thấy, việc duy trì tinh thần thoải mái và chăm sóc sức khỏe toàn thân cũng góp phần quan trọng trong phòng ngừa nha chu.
5. Đối tượng nguy cơ cao mắc bệnh nha chu
5.1 Người hút thuốc lá thường xuyên
Hút thuốc lá là một trong những yếu tố nguy cơ lớn nhất dẫn đến bệnh nha chu. Chất nicotin trong khói thuốc làm giảm khả năng tuần hoàn máu ở nướu, khiến nướu kém đàn hồi và dễ tổn thương hơn. Người hút thuốc thường ít thấy chảy máu nướu, nhưng thực chất tình trạng viêm đang âm thầm diễn ra bên trong.
Ngoài ra, khói thuốc còn làm thay đổi môi trường khoang miệng, tạo điều kiện cho vi khuẩn có hại phát triển nhanh chóng. Việc vệ sinh răng miệng ở người hút thuốc vì thế cũng trở nên kém hiệu quả hơn. Nghiên cứu cho thấy tỷ lệ mất răng ở nhóm này cao gấp nhiều lần so với người không hút thuốc.
Chính vì vậy, việc ngừng hút thuốc không chỉ giúp cải thiện sức khỏe răng miệng mà còn tăng hiệu quả điều trị bệnh nha chu nếu chẳng may đã mắc bệnh.

5.2 Người mắc bệnh mạn tính (tiểu đường, tim mạch)
Người mắc bệnh tiểu đường thường có nguy cơ cao bị nha chu hơn do mức đường huyết cao tạo môi trường thuận lợi cho vi khuẩn phát triển. Đồng thời, khả năng lành thương kém khiến viêm nướu dễ chuyển biến nặng hơn, khó kiểm soát.
Bên cạnh đó, bệnh tim mạch và các rối loạn miễn dịch cũng làm suy yếu sức đề kháng tự nhiên của cơ thể. Khi sức đề kháng giảm, nướu sẽ không đủ sức chống lại vi khuẩn gây bệnh, dẫn đến viêm nhiễm kéo dài. Nhiều nghiên cứu còn chỉ ra mối liên hệ hai chiều: bệnh nha chu có thể làm tình trạng tiểu đường và tim mạch trở nên trầm trọng hơn.
Điều này chứng minh rằng việc kiểm soát bệnh toàn thân kết hợp chăm sóc răng miệng tốt sẽ giúp phòng ngừa nha chu hiệu quả hơn.
5.3 Phụ nữ mang thai và phụ nữ mãn kinh
Thay đổi nội tiết tố trong thời kỳ mang thai khiến nướu trở nên nhạy cảm và dễ viêm hơn. Nhiều mẹ bầu gặp phải tình trạng nướu chảy máu, sưng đỏ – đây là dấu hiệu viêm nướu thai kỳ, nếu không chăm sóc kỹ có thể tiến triển thành nha chu. Điều này không chỉ ảnh hưởng đến mẹ mà còn làm tăng nguy cơ sinh non hoặc trẻ nhẹ cân.
Ở phụ nữ giai đoạn mãn kinh, sự suy giảm hormone cũng làm nướu dễ bị khô, teo và yếu đi. Điều này khiến vi khuẩn dễ dàng tấn công, gây viêm nhiễm kéo dài. Không ít phụ nữ ở tuổi trung niên phải đối mặt với tình trạng mất răng do nha chu mà không hề hay biết.
Vì thế, nhóm đối tượng này cần được khám nha khoa định kỳ và chăm sóc răng miệng kỹ lưỡng để phòng ngừa bệnh.
5.4 Người có thói quen vệ sinh răng miệng kém
Không đánh răng đủ 2 lần/ngày, bỏ qua việc dùng chỉ nha khoa hay đánh răng qua loa đều là những thói quen nguy hiểm. Mảng bám sẽ tích tụ nhiều hơn, hình thành cao răng, từ đó làm tăng nguy cơ viêm nướu và viêm nha chu.
Nhiều người có suy nghĩ sai lầm rằng chỉ cần đánh răng buổi sáng là đủ. Thực tế, vi khuẩn hoạt động mạnh nhất vào ban đêm, vì vậy nếu không chải răng trước khi ngủ, nguy cơ mắc bệnh nha chu sẽ tăng lên đáng kể.
Đây là nhóm đối tượng dễ mắc nha chu nhất, nhưng đồng thời cũng là nhóm dễ phòng ngừa nhất nếu thay đổi thói quen vệ sinh răng miệng hằng ngày.
5.5 Người bị căng thẳng kéo dài hoặc có yếu tố di truyền
Stress kéo dài khiến cơ thể tiết ra nhiều hormone cortisol, làm giảm sức đề kháng của cơ thể. Khi hệ miễn dịch suy yếu, nướu sẽ không còn khả năng chống lại vi khuẩn, dẫn đến tình trạng viêm và tiêu xương diễn ra nhanh hơn.
Ngoài ra, yếu tố di truyền cũng đóng vai trò quan trọng. Nếu trong gia đình có người từng mắc bệnh nha chu, nguy cơ con cháu bị bệnh cũng cao hơn. Điều này liên quan đến cấu trúc nướu và khả năng miễn dịch bẩm sinh.
Sự kết hợp giữa căng thẳng và di truyền khiến bệnh nha chu có thể tiến triển sớm và nặng hơn bình thường. Do đó, những người thuộc nhóm này cần đặc biệt chú ý đến việc khám nha khoa định kỳ để phát hiện và điều trị sớm.
6. Bệnh nha chu nguy hiểm như thế nào
6.1 Nguy cơ mất răng vĩnh viễn
Bệnh nha chu là một trong những nguyên nhân hàng đầu gây mất răng ở người trưởng thành. Khi vi khuẩn tấn công sâu vào mô nha chu, xương ổ răng sẽ bị tiêu dần, dây chằng quanh răng bị phá hủy, khiến răng mất chỗ bám vững chắc. Người bệnh thường cảm thấy răng lung lay, sau đó rụng dần từng chiếc.
Mất răng không chỉ gây mất thẩm mỹ mà còn ảnh hưởng trực tiếp đến khả năng ăn nhai. Khi mất nhiều răng, xương hàm có thể bị tiêu, khuôn mặt biến dạng, lão hóa nhanh hơn. Đây chính là lý do tại sao bệnh nha chu cần được điều trị sớm, trước khi gây ra hậu quả không thể khắc phục.
6.2 Ảnh hưởng đến khả năng ăn nhai và chất lượng cuộc sống
Khi nha chu tiến triển, răng lung lay và trở nên nhạy cảm, việc ăn uống trở nên khó khăn hơn. Người bệnh thường tránh những món cứng, dai, hoặc nóng – lạnh vì gây đau buốt. Lâu dần, chế độ ăn bị hạn chế, dẫn đến thiếu hụt dinh dưỡng.
Không chỉ dừng lại ở ăn uống, mất răng còn ảnh hưởng đến khả năng phát âm. Nhiều bệnh nhân cảm thấy ngại giao tiếp do phát âm không rõ hoặc mất tự tin khi cười nói. Điều này tác động mạnh đến tâm lý, khiến chất lượng cuộc sống suy giảm đáng kể.
6.3 Tăng nguy cơ mắc bệnh toàn thân
Điều ít ai ngờ tới là bệnh nha chu không chỉ ảnh hưởng trong khoang miệng mà còn liên quan đến nhiều bệnh lý toàn thân. Vi khuẩn từ túi nha chu có thể xâm nhập vào máu, di chuyển đến các cơ quan khác, làm tăng nguy cơ mắc bệnh tim mạch, tiểu đường, viêm phổi, thậm chí biến chứng thai kỳ ở phụ nữ mang thai.
Nhiều nghiên cứu y khoa đã chứng minh mối liên hệ hai chiều: bệnh tiểu đường làm bệnh nha chu nặng hơn, và ngược lại, nha chu không được kiểm soát khiến tiểu đường khó ổn định hơn. Đây là minh chứng rõ ràng cho thấy sức khỏe răng miệng có mối quan hệ mật thiết với sức khỏe toàn thân.
6.4 Ảnh hưởng đến tâm lý và sự tự tin
Ngoài những tổn hại về sức khỏe, nha chu còn khiến người bệnh gặp nhiều vấn đề tâm lý. Hơi thở có mùi hôi, răng lung lay hoặc mất răng khiến nhiều người ngại ngùng khi giao tiếp. Điều này có thể dẫn đến mặc cảm, giảm sự tự tin trong công việc cũng như cuộc sống hàng ngày.
Không ít bệnh nhân chia sẻ rằng họ hạn chế cười hoặc nói chuyện trước đám đông vì lo sợ người khác nhận ra vấn đề răng miệng. Sự e ngại này dần ảnh hưởng đến mối quan hệ xã hội và tinh thần, khiến chất lượng cuộc sống giảm sút nghiêm trọng.
7. Quy trình chẩn đoán bệnh nha chu tại nha khoa gia đình phú yên
7.1 Khám lâm sàng trực tiếp
Bước đầu tiên trong quy trình chẩn đoán là bác sĩ sẽ thăm khám trực tiếp tình trạng nướu và răng. Bằng mắt thường và dụng cụ chuyên dụng, bác sĩ kiểm tra mức độ viêm, tình trạng sưng đỏ, chảy máu và độ sâu của túi nha chu.
Khám lâm sàng giúp phát hiện sớm những bất thường mà người bệnh có thể bỏ qua trong sinh hoạt hàng ngày. Đây cũng là bước quan trọng để phân biệt viêm nướu đơn thuần với viêm nha chu đã tiến triển. Từ đó, bác sĩ sẽ quyết định cần làm thêm các xét nghiệm hay chụp phim để có chẩn đoán chính xác hơn.
7.2 Chụp X-quang răng
Sau khi khám lâm sàng, bệnh nhân thường được chỉ định chụp X-quang. Hình ảnh X-quang cho phép bác sĩ quan sát rõ tình trạng xương ổ răng, mức độ tiêu xương và vị trí các răng bị ảnh hưởng. Đây là bằng chứng khách quan giúp đánh giá mức độ nặng nhẹ của bệnh.
X-quang còn hỗ trợ phát hiện các tổn thương ẩn dưới nướu mà mắt thường không thấy được, ví dụ như túi mủ hoặc ổ viêm sâu. Việc này đặc biệt quan trọng để tránh bỏ sót bệnh lý và đảm bảo đưa ra phác đồ điều trị phù hợp.
7.3 Xét nghiệm vi sinh và kiểm tra vi khuẩn
Ở một số trường hợp phức tạp, bác sĩ có thể chỉ định lấy mẫu từ túi nha chu để phân tích vi sinh. Kết quả xét nghiệm cho biết loại vi khuẩn nào đang gây bệnh và mức độ độc lực của chúng. Đây là cơ sở quan trọng để quyết định có cần dùng kháng sinh phối hợp trong điều trị hay không.
Ngoài ra, xét nghiệm vi sinh còn giúp đánh giá hiệu quả điều trị sau một thời gian, từ đó điều chỉnh phác đồ nếu cần thiết. Nhờ vậy, bệnh nhân nhận được liệu trình phù hợp và đạt kết quả tốt nhất.
7.4 Đánh giá mức độ và lập phác đồ điều trị
Sau khi có đủ dữ liệu từ khám lâm sàng, X-quang và xét nghiệm, bác sĩ sẽ đánh giá tổng quan tình trạng bệnh nhân. Bệnh sẽ được phân loại theo giai đoạn (nhẹ, trung bình, nặng) và mức độ tiến triển.
Từ đó, nha sĩ sẽ xây dựng phác đồ điều trị cá nhân hóa, bao gồm kế hoạch điều trị khẩn cấp, điều trị căn nguyên, và lịch tái khám định kỳ. Đây là bước quan trọng để đảm bảo việc điều trị diễn ra có hệ thống, đúng hướng và mang lại hiệu quả lâu dài.
7. Quy trình chẩn đoán bệnh nha chu tại nha khoa gia đình phú yên
7.1 Khám lâm sàng trực tiếp
Bước đầu tiên trong quy trình chẩn đoán là bác sĩ sẽ thăm khám trực tiếp tình trạng nướu và răng. Bằng mắt thường và dụng cụ chuyên dụng, bác sĩ kiểm tra mức độ viêm, tình trạng sưng đỏ, chảy máu và độ sâu của túi nha chu.
Khám lâm sàng giúp phát hiện sớm những bất thường mà người bệnh có thể bỏ qua trong sinh hoạt hàng ngày. Đây cũng là bước quan trọng để phân biệt viêm nướu đơn thuần với viêm nha chu đã tiến triển. Từ đó, bác sĩ sẽ quyết định cần làm thêm các xét nghiệm hay chụp phim để có chẩn đoán chính xác hơn.
7.2 Chụp X-quang răng
Sau khi khám lâm sàng, bệnh nhân thường được chỉ định chụp X-quang. Hình ảnh X-quang cho phép bác sĩ quan sát rõ tình trạng xương ổ răng, mức độ tiêu xương và vị trí các răng bị ảnh hưởng. Đây là bằng chứng khách quan giúp đánh giá mức độ nặng nhẹ của bệnh.
X-quang còn hỗ trợ phát hiện các tổn thương ẩn dưới nướu mà mắt thường không thấy được, ví dụ như túi mủ hoặc ổ viêm sâu. Việc này đặc biệt quan trọng để tránh bỏ sót bệnh lý và đảm bảo đưa ra phác đồ điều trị phù hợp.
7.3 Xét nghiệm vi sinh và kiểm tra vi khuẩn
Ở một số trường hợp phức tạp, bác sĩ có thể chỉ định lấy mẫu từ túi nha chu để phân tích vi sinh. Kết quả xét nghiệm cho biết loại vi khuẩn nào đang gây bệnh và mức độ độc lực của chúng. Đây là cơ sở quan trọng để quyết định có cần dùng kháng sinh phối hợp trong điều trị hay không.
Ngoài ra, xét nghiệm vi sinh còn giúp đánh giá hiệu quả điều trị sau một thời gian, từ đó điều chỉnh phác đồ nếu cần thiết. Nhờ vậy, bệnh nhân nhận được liệu trình phù hợp và đạt kết quả tốt nhất.
7.4 Đánh giá mức độ và lập phác đồ điều trị
Sau khi có đủ dữ liệu từ khám lâm sàng, X-quang và xét nghiệm, bác sĩ sẽ đánh giá tổng quan tình trạng bệnh nhân. Bệnh sẽ được phân loại theo giai đoạn (nhẹ, trung bình, nặng) và mức độ tiến triển.
Từ đó, nha sĩ sẽ xây dựng phác đồ điều trị cá nhân hóa, bao gồm kế hoạch điều trị khẩn cấp, điều trị căn nguyên, và lịch tái khám định kỳ. Đây là bước quan trọng để đảm bảo việc điều trị diễn ra có hệ thống, đúng hướng và mang lại hiệu quả lâu dài.
8. Cách phòng ngừa bệnh nha chu tại nhà
8.1 Giữ thói quen vệ sinh răng miệng khoa học
Đánh răng ít nhất 2 lần mỗi ngày bằng bàn chải lông mềm và kem đánh răng chứa fluoride là biện pháp đơn giản nhưng hiệu quả để ngăn ngừa bệnh nha chu. Khi đánh răng, cần chú ý chải đúng kỹ thuật, di chuyển theo vòng tròn nhỏ và làm sạch cả mặt trong, mặt ngoài và mặt nhai của răng.
Ngoài bàn chải, việc sử dụng chỉ nha khoa hằng ngày giúp loại bỏ thức ăn thừa và mảng bám ở kẽ răng – nơi bàn chải không chạm tới. Đây là thói quen quan trọng giúp giảm thiểu nguy cơ viêm nướu và sự hình thành cao răng.
8.2 Súc miệng và hỗ trợ bằng sản phẩm chăm sóc răng miệng
Ngoài việc chải răng và dùng chỉ nha khoa, bạn nên súc miệng bằng nước muối sinh lý hoặc nước súc miệng sát khuẩn. Điều này giúp loại bỏ vi khuẩn còn sót lại, giữ hơi thở thơm mát và giảm viêm nướu.
Một số sản phẩm chăm sóc bổ trợ như bàn chải điện, máy tăm nước cũng là lựa chọn tốt để tăng hiệu quả vệ sinh răng miệng. Đặc biệt, máy tăm nước rất hữu ích cho người đang niềng răng hoặc có cầu răng sứ vì dễ dàng làm sạch những vị trí khó tiếp cận.

8.3 Thói quen ăn uống và lối sống lành mạnh
Chế độ ăn uống giàu vitamin C, D và canxi giúp tăng cường sức khỏe nướu và xương ổ răng. Hạn chế đồ ngọt, nước ngọt có gas và các loại thực phẩm nhiều tinh bột sẽ giảm nguy cơ hình thành mảng bám. Uống nhiều nước cũng giúp rửa trôi vi khuẩn và giữ khoang miệng luôn ẩm, hạn chế viêm nhiễm.
Ngoài ra, nên tránh hút thuốc lá và hạn chế rượu bia – những yếu tố làm bệnh nha chu tiến triển nhanh hơn. Đồng thời, duy trì lối sống lành mạnh, ngủ đủ giấc và giảm stress sẽ giúp cơ thể tăng sức đề kháng, bảo vệ răng miệng tốt hơn.
Kết luận
Bệnh nha chu là một trong những bệnh lý răng miệng phổ biến nhưng lại tiềm ẩn nhiều biến chứng nguy hiểm nếu không được phát hiện và điều trị sớm. Việc hiểu rõ dấu hiệu, nguyên nhân và nguy cơ của bệnh sẽ giúp bạn chủ động hơn trong chăm sóc sức khỏe răng miệng hằng ngày.
Nếu bạn đang có triệu chứng nướu sưng đỏ, chảy máu khi chải răng, hơi thở có mùi hôi kéo dài hay răng lung lay, đừng chần chừ mà hãy đến khám tại Nha Khoa Gia Đình – Ngã 3 Triều Sơn, QL1A, Xuân Thọ 2, Sông Cầu, Phú Yên. Đội ngũ bác sĩ giàu kinh nghiệm sẽ thăm khám, chẩn đoán và đưa ra phác đồ điều trị phù hợp, giúp bạn lấy lại hàm răng chắc khỏe và nụ cười tự tin.













